Fachada Clínica Dental Villajoyosa 99

Tu sonrisa, en manos expertas

Los mejores profesionales y la medicina más avanzada nos diferencian de los demás. Porque lo más importante para nosotros eres tú, con nuestra atención individualizada te ayudaremos a permanecer siempre saludable y feliz.

+0

Pacientes
Atendidos

0

Años de
Experiencia

0

Años del Dr. Polo
en Odontología

0

Servicios
Especializados

Estás en buenas manos

Tu bienestar es nuestra prioridad. Por ello, tu doctor dedicará todo el tiempo necesario para ofrecerte la atención que necesitas. Lee toda la información acerca de nuestros servicios.

Visitas Regulares

Visitas Regulares

Las revisiones regulares sirven para mucho más de lo que pueda parecer. Son una ocasión ideal para conocer todos los detalles acerca de tu estado de salud bucodental y hacer un seguimiento del mismo. En Clínica Dental Villajoyosa 99 realizamos revisiones completas que incluyen exploración clínica, radiografías cuando son necesarias y un plan de tratamiento personalizado para mantener tu boca en perfecto estado.

Odontología General

Odontología General

La odontología general es la encargada de solucionar los problemas más básicos y comunes relacionados con la salud bucodental. En nuestra clínica tratamos caries, realizamos obturaciones, reconstrucciones dentales y ofrecemos un cuidado integral de tu boca. Nuestro objetivo es mantener tus dientes naturales el mayor tiempo posible mediante tratamientos conservadores y de calidad.

Implantes Dentales

Implantes Dentales

Los implantes dentales son la solución más avanzada para reponer dientes perdidos. Un implante es un tornillo de titanio de alta calidad que se introduce en el hueso maxilar o mandibular, sobre el cual se colocarán posteriormente coronas o prótesis. En Clínica Dental Villajoyosa 99 utilizamos tecnología de última generación y materiales de primera calidad para garantizar el éxito del tratamiento y la durabilidad de tus implantes.

Ortodoncia

Ortodoncia

La ortodoncia es una rama de la odontología que estudia, previene y corrige problemas dentales como desviación en la posición de los dientes, apiñamientos o diastemas. En nuestra clínica ofrecemos tratamientos de ortodoncia tanto para niños como para adultos, utilizando las técnicas más modernas y efectivas. Nuestro objetivo es conseguir una sonrisa perfecta y una correcta oclusión dental que mejore tanto la estética como la funcionalidad de tu boca.

Endodoncia

Endodoncia

Sabemos de sobra que el dolor de muelas es una de las cosas más incómodas que existen. Este dolor, normalmente es producido cuando una caries crece lo suficiente y llega al nervio. La endodoncia, también conocida como tratamiento de conductos, es el procedimiento que nos permite salvar dientes que de otra manera tendrían que ser extraídos. Eliminamos el tejido pulpar infectado, limpiamos los conductos radiculares y los sellamos para evitar futuras infecciones.

Periodoncia

Periodoncia

Una mala higiene sumado a otros factores puede desembocar en una enfermedad de las encías. La rama de la odontología que se encarga del cuidado y tratamiento de estas es la Periodoncia. Tratamos tanto la gingivitis como la periodontitis, enfermedades que afectan a las encías y al soporte de los dientes. Nuestro tratamiento periodontal incluye limpiezas profundas, curetajes y seguimiento personalizado para mantener tu salud periodontal en óptimas condiciones.

Prótesis

Prótesis

Las prótesis dentales son dispositivos creados a medida del paciente para restaurar la pérdida de uno o varios dientes y recuperar así la funcionalidad dental y su estética. En Clínica Dental Villajoyosa 99 realizamos prótesis removibles, prótesis fijas y prótesis sobre implantes, todas ellas diseñadas y fabricadas con los materiales más avanzados para garantizar máxima comodidad, durabilidad y un resultado estético natural.

Odontopediatría

Odontopediatría

En Clínica Dental Villajoyosa 99 también nos preocupamos por los más pequeños. Por eso, ofrecemos un servicio de odontopediatría ajustado a cada niño o niña para que su experiencia sea lo más llevadera posible. Nuestro equipo está especializado en el trato con niños, creando un ambiente relajado y amigable. Realizamos tratamientos preventivos, sellados de fisuras, tratamientos de caries y seguimiento del desarrollo dental para asegurar una sonrisa sana desde la infancia.

¿No encuentras lo que buscas? Contáctanos y te ayudaremos.

Pedir información

Resultados reales de nuestros pacientes

Explora cambios documentados antes y después: salud, función y estética que se notan. En cada caso diseñamos un plan a medida y, cuando conviene, coordinamos a varias especialidades.

Seleccionamos la técnica adecuada para cada persona y, cuando hace falta, intervenimos de forma multidisciplinar.

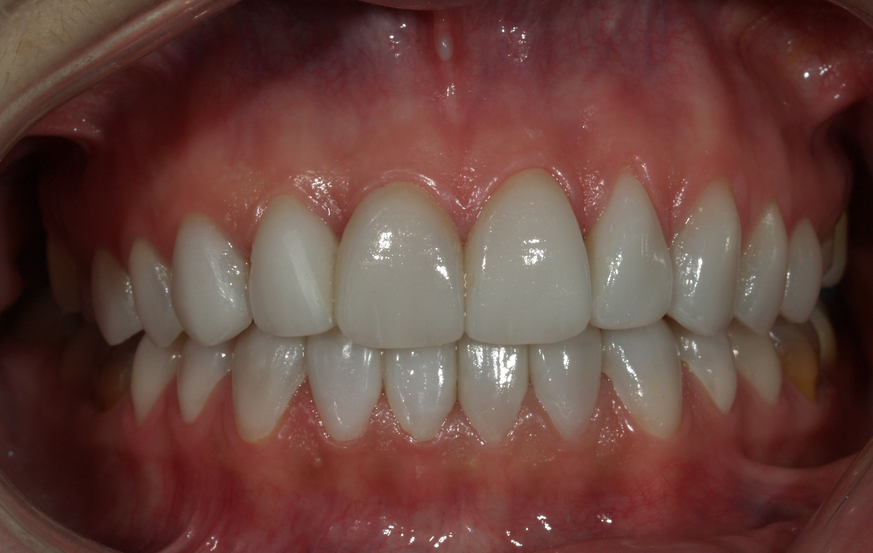
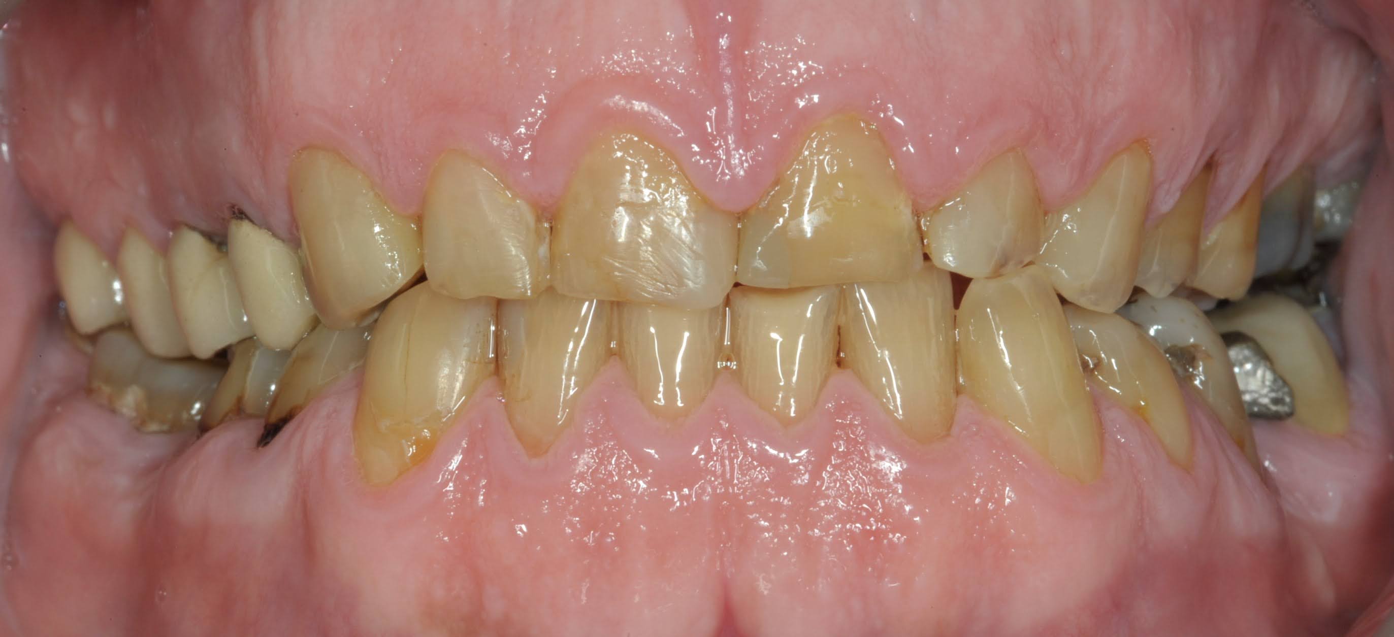
Carillas de composite

Carillas de composite - Antes Carillas de composite - Después
ANTES
DESPUÉS

Carillas de porcelana

Carillas de porcelana - Antes Carillas de porcelana - Después
ANTES
DESPUÉS

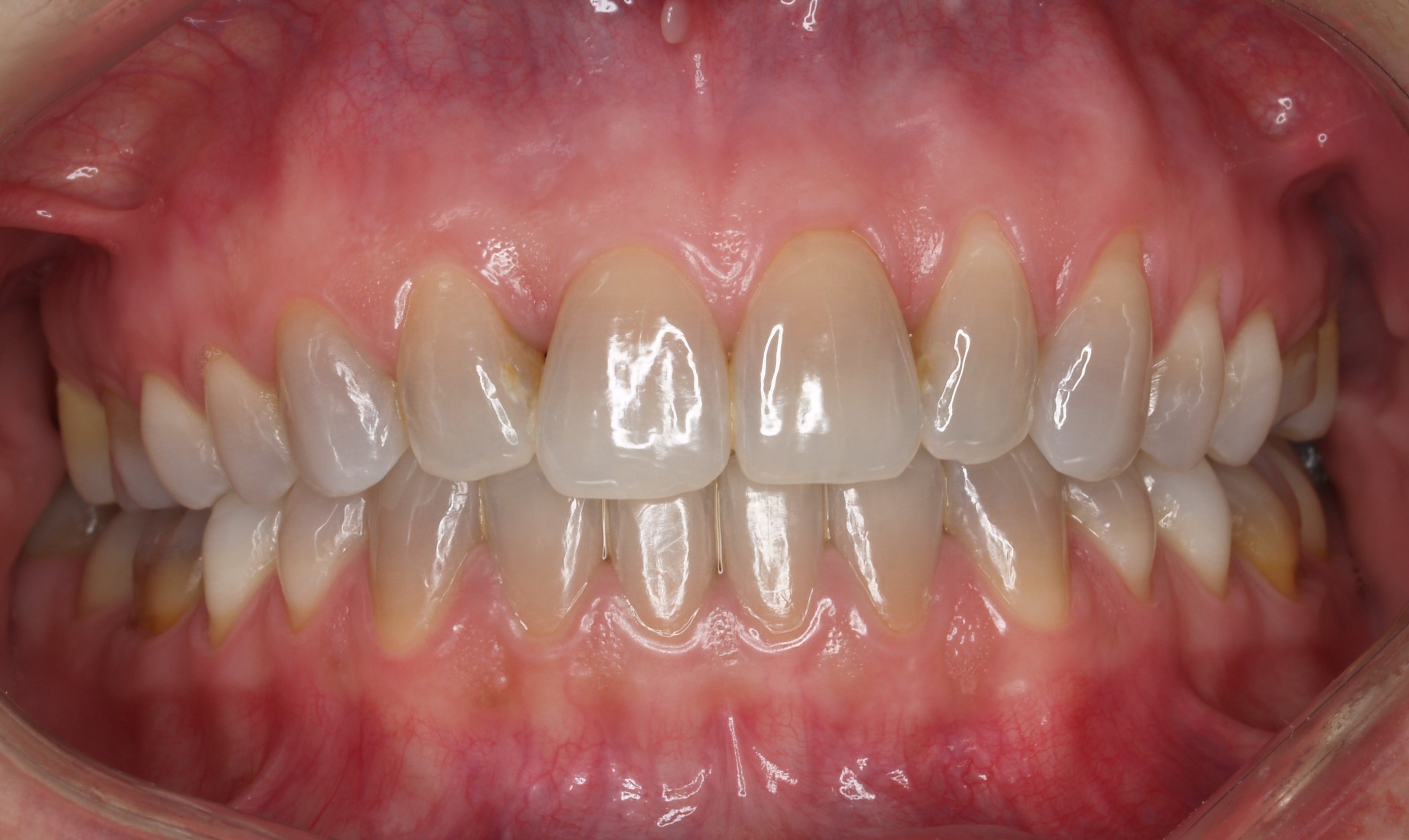
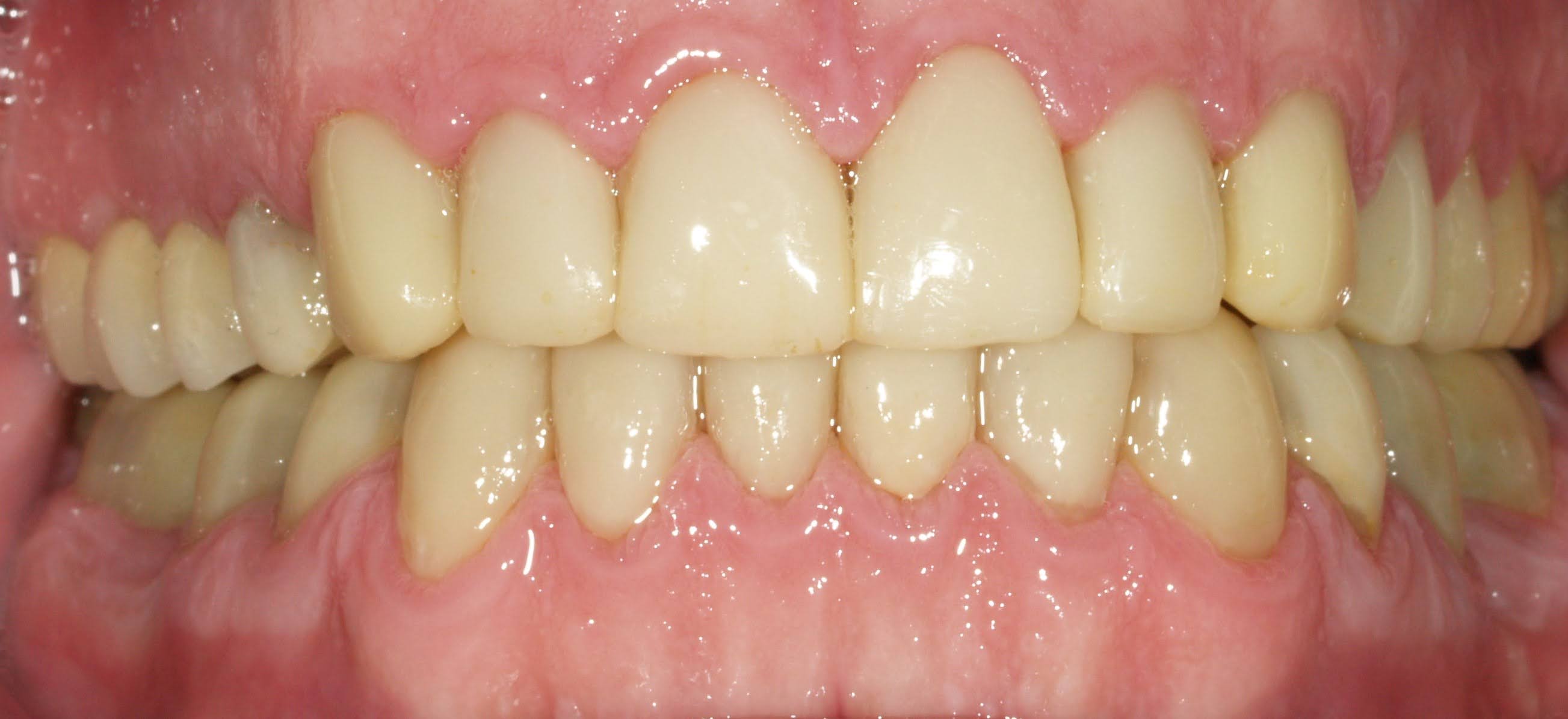
Blanqueamiento

Blanqueamiento - Antes Blanqueamiento - Después
ANTES
DESPUÉS

RMR

RMR - Antes RMR - Después
ANTES
DESPUÉS

Clínica Dental Villajoyosa 99

★★★★★
5.0

52 reseñas Google

Escribe una reseña

Promociones

Aprovecha nuestras ofertas especiales y cuida tu sonrisa con los mejores precios.

Contacto

Estamos aquí para ayudarte. Contáctanos por teléfono, email o visítanos en nuestra clínica.

Información de contacto

Calle de Villajoyosa, 99

28041 Madrid

L-V: 10:00 - 14:00 / 16:30 - 20:00

Sáb: 10:00 - 13:30

¿Tienes alguna pregunta?

Completa el formulario y te responderemos lo antes posible.